[고용브리핑365] 의료계도 인공지능 열풍
이번 시간은 최근 화제가 되고 있는 고용 소식과 산업 동향을 보다 자세히 전해드리는 '고용브리핑 365'시간입니다.
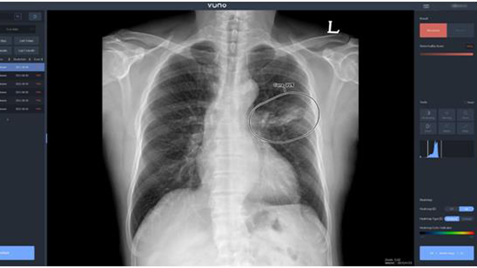
오늘은 의료계의 인공지능 열풍에 대해 살펴보겠습니다. 함께 보시죠.
연합뉴스TV 기사문의 및 제보 : 카톡/라인 jebo23
(끝)
이번 시간은 최근 화제가 되고 있는 고용 소식과 산업 동향을 보다 자세히 전해드리는 '고용브리핑 365'시간입니다.
오늘은 의료계의 인공지능 열풍에 대해 살펴보겠습니다. 함께 보시죠.
연합뉴스TV 기사문의 및 제보 : 카톡/라인 jebo23
(끝)
당신이 담은 순간이 뉴스입니다!
- jebo23
- 라인 앱에서 'jebo23' 친구 추가
- jebo23@yna.co.kr
ⓒ연합뉴스TV, 무단 전재-재배포, AI 학습 및 활용 금지